Top.Mail.Ru
armenia@dia-m.ru 8 (800) 234-05-08
(+374 94) 010173
Ваш регион Москва?

28-29.04.2026. Практические мастер-классы по цифровой гистологии, г. Москва.

02.04.2026

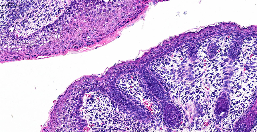
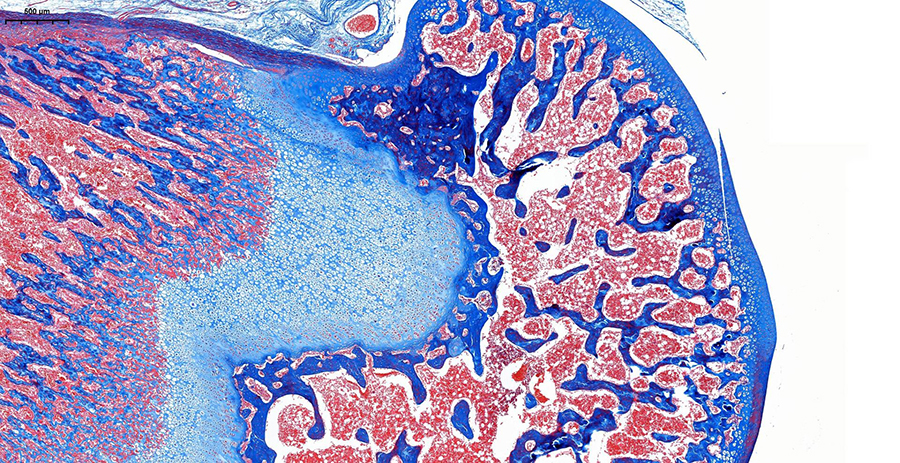
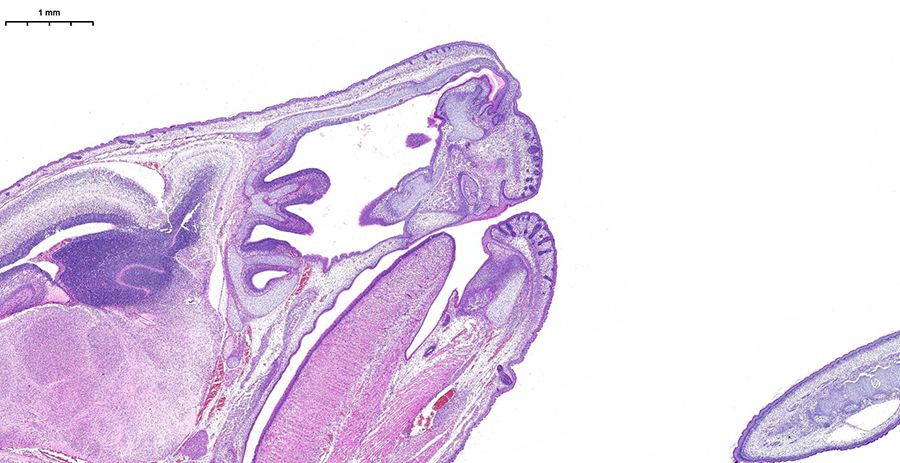
Погрузитесь в будущее гистологической лаборатории на двухдневном мероприятии, где представится возможность поработать с новейшим гистосканером LG-S80 от Servicebio.Погрузитесь в будущее гистологической лаборатории на двухдневном мероприятии, где представится возможность поработать с новейшим гистосканером LG-S80 от Servicebio.

Что вас ждёт:

Сможете оценить высочайшее разрешение, скорость обработки (полное стекло за 3-5 минут) и интеллектуальное аналитическое ПО, которое автоматически распознаёт структуры и формирует количественные отчёты с готовыми данными. Можно принести для апробации свои образцы, демонстрируемая конфигурация флуоресцентных каналов (Ex/Em, нм):

Опционально:



Идеальное решение для работы с живыми клетками, флуоресценцией и рутинным мониторингом культур — без затемнённой комнаты и с мгновенным экспортом данных.


Дата и время: 28 и 29 апреля 2026, c 10:00 до 16:00 по Мск.

Адрес: г. Москва, ул. Магаданская, д.7 корп. 3.


По возникающим вопросам пишите ap@dia-m.ru или звоните по номеру 8 906 0533 799 (Анна).


28_calendar-dia-m-webinar.png
Добавить мероприятие в календарь
iOS Outlook Google

Заявка на участие

Поле обязательно к заполнению Некорректный формат
Поле обязательно к заполнению Некорректный формат
Поле обязательно к заполнению Некорректный формат
Поле обязательно к заполнению Некорректный формат
Поле обязательно к заполнению Некорректный формат
Скрыть вопросы спикеру
Написать вопросы спикеру
Поле обязательно к заполнению Некорректный формат
Поле обязательно к заполнению
Поле обязательно к заполнению
Ваш заказ будет обработан
в ближайшее время.
Мы пришлем уведомление, как только все будет готово. Спасибо!